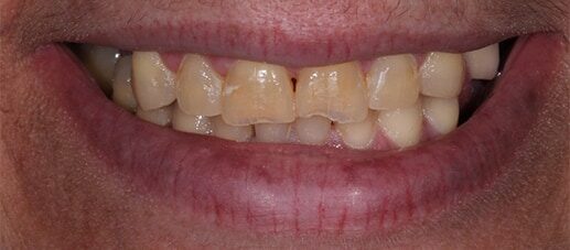
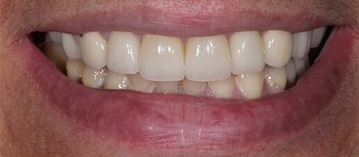
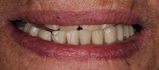
For our practice, there is no greater fulfillment than seeing a patient fall in love with their smile. We provide oral care that is all-inclusive, offering a wide array of treatments to help you obtain a smile that is as healthy and beautiful as possible. Whether your needs are restorative, preventive, orthodontic, or purely cosmetic, our highly-experienced dentists in the Bronx and New York City area can improve both the appearance and function of your teeth and gums for a dazzling final outcome. Take a look at some of the patient results showcased in our Smile Gallery, and don’t hesitate to reach out to our practice when you are ready to take your smile to new heights.

































